Call us  Call us:+91-484 2885910 (Reception Orthopedics; 9am to 5pm Mon-Sat), +91-484-2885621 (22,23,24) Doctor's mobile - +91 9497559755 (whatsApp anytime)

Institute of Advanced Orthopedics, MOSC Hospital and Medical College, Kolenchery, Ernakulam, Kerala

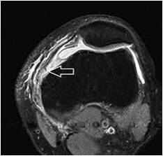
MRI-normal-MPFL-2

Patella dislocation – MPFL tear

By Sujit Jos | Published November 24, 2022 | Full size is 234 × 223 pixels

MRI-normal-MPFL-1 MRI-normal-MPFL-3 Bookmark the permalink.

Leave a Reply

Your email address will not be published. Required fields are marked *

Translate »