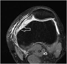
← Patella dislocation – MPFL tear
By Sujit Jos | Published November 24, 2022 | Full size is 234 × 223 pixels Picture1-1 MRI-MPFL-tear Bookmark the permalink.← Patella dislocation – MPFL tear
By Sujit Jos | Published November 24, 2022 | Full size is 234 × 223 pixels Picture1-1 MRI-MPFL-tear Bookmark the permalink.