Call us  Call us:+91-484 2885910 (Reception Orthopedics; 9am to 5pm Mon-Sat), +91-484-2885621 (22,23,24) Doctor's mobile - +91 9497559755 (whatsApp anytime)

Institute of Advanced Orthopedics, MOSC Hospital and Medical College, Kolenchery, Ernakulam, Kerala

avn preop mri 2

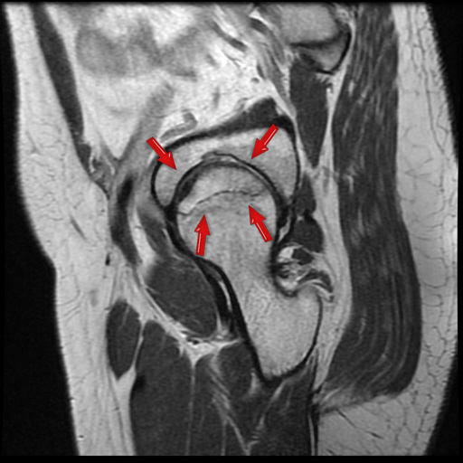
Avascular necrosis of the Hip Joint

By Sujit Jos | Published November 25, 2017 | Full size is 512 × 512 pixels

avn preop mri 1 avn preop

Avascualar area of the top most portion of the ball of hip joint

Bookmark the permalink.

Leave a Reply

Your email address will not be published. Required fields are marked *

Translate »