Call us  Call us:+91-484 2885910 (Reception Orthopedics; 9am to 5pm Mon-Sat), +91-484-2885621 (22,23,24) Doctor's mobile - +91 9497559755 (whatsApp anytime)

Institute of Advanced Orthopedics, MOSC Hospital and Medical College, Kolenchery, Ernakulam, Kerala

shoulder xray oa 4

Shoulder Replacement

By Sujit Jos | Published January 23, 2018 | Full size is 653 × 643 pixels

shoulder xray ap 2 shoulder xray oa3

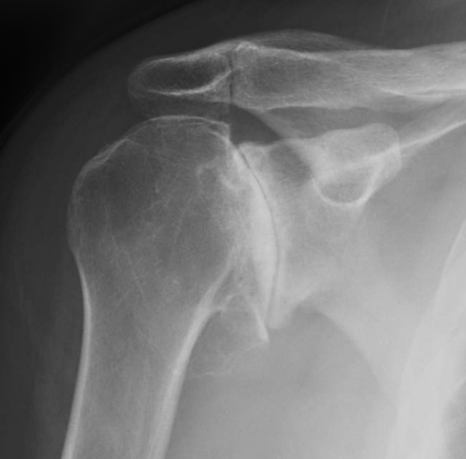
Late osteoarthritis shoulder

Bookmark the permalink.

Leave a Reply

Your email address will not be published. Required fields are marked *

Translate »